下顎前突・反対咬合とは?

一般的には「受け口」と言われています。奥歯の噛み合わせが下の歯が前にズレることで受け口になっているケース、骨格的に下あごが前に出ていることで受け口になっているケースなどがあります。検査結果をもとに歯の傾斜角度やズレなどを分析し理想値に近づくように治療計画をたてます。舌癖がある方が多く、矯正治療後に歯が安定しにくかったり後戻りの可能性が高いため機能回復を図るための口腔機能訓練(MFT)が必要になることがあります。
CASE1
| 初診時年齢 | 12歳 |
|---|---|
| 主訴 | 受け口を治してやりたい(祖父) |
| 口腔内所見 | 前歯が上下反対に噛み合わせており、上と下の歯の真ん中が左に約2mmずれ、上下の奥歯の噛み合わせは下の歯が前にずれている状態で、奥歯から約5mm受け口の噛み合わせの関係でした。 |
| 診断名 | アングルⅢ級叢生症例 |
| 装置名 | マルチブラケット装置、チンキャップ、上顎前方牽引装置、リップバンパー |
| 抜歯、非抜歯 | 非抜歯 |
| 治療期間・ 通院回数 |
4年7ヶ月(マルチブラケット装置治療期間は2年8ヶ月)・55回 |
| 費用の目安 | 800,000円(税込)※当時税率5% (費用内訳) 検査・診断料:52,500円(税込) 矯正治療費(処置料・保定装置料を含む):747,500円(税込) |
| リスク・副作用 |
|
治療計画
前歯が反対に噛み合わさっていることに対してアクティブプレート(着脱式装置)にて噛み合わせの改善を図り、骨格的に下あごが前に出ている状態+上あごが後退している状態に対して下あごの後方移動・前方発育抑制装置(チンキャップ)と上あごを前方に引っ張る装置を併用し、顎の成長コントロールを図ります。機能的問題として、舌小帯(舌のうしろのヒダ)の付着異常を認めたため舌小帯切除を行い、それに伴う舌癖を改善するために、切除後MFT(口腔筋機能訓練)を行うこととします。そのような治療を2〜3年進め、再診断を行い、骨格的に問題が無ければ全体に装置を付けた治療に移行し、骨格性の問題が著しくなった場合は外科矯正治療の可能性があることを説明しています。
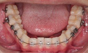
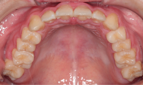
上顎・正面・下顎
- 治療前
- 治療中
- 治療後
側面
- 治療前
- 治療中
- 治療後
治療前後横顔
- 治療前
- 治療後
治療結果
■患者協力による噛み合わせの改善
初診時の噛み合わせや骨格的な問題から、将来的に外科矯正が必要になる可能性も視野に入れながらの治療計画となりました。患者さんご本人の理解、協力が不可欠な症例であったが、床装置・チンキャップ・上顎前方牽引装置装着(着脱式装置)の使用への協力も良好で、満足のいく結果となりました。保定期間中も経過良好で、後戻りや予期せぬ下顎骨の過成長は認められませんでした。
CASE2
| 初診時年齢 | 10歳 |
|---|---|
| 主訴 | 受け口を治したい |
| 口腔内所見 | 上の前歯が捻じれている状態で、上下反対の噛み合わせです。上下左右の犬歯から奥歯までの間が噛み合わせていない「開咬」で、奥歯の噛み合わせは下の歯が前にずれていて受け口になっています。舌のうしろのヒダがかなり太くきつく付着して、舌の運動制限があるため嚥下(飲み込むとき)・発音・安静時(普段)に舌が上下の歯の間から出る癖も見受けられました。 |
| 診断名 | 舌小帯強直、舌の位置不正を伴う骨格性下顎前突症 |
| 装置名 | マルチブラケット装置、チンキャップ |
| 抜歯、非抜歯 | 非抜歯 |
| 治療期間・ 通院回数 |
4年8ヶ月・56回 |
| 費用の目安 | 800,000円(税込)※当時税率5% (費用内訳) 検査・診断料:52,500円(税込) 矯正治療費(処置料・保定装置料を含む):747,500円(税込) |
| リスク・副作用 |
|
治療計画
舌の裏のヒダを切除することで舌の可動範囲を広げ、術後の癒着を防ぐために口腔筋機能訓練(MFT)の徹底、チンキャップによる下あごの成長コントロール、マルチブラケット装置による歯並び・噛み合わせの改善を目指します。
上顎・正面・下顎
- 治療前
- 治療中
- 治療後
側面
- 治療前
- 治療中
- 治療後
治療前後横顔
- 治療前
- 治療後
治療結果
■口腔筋機能の改善
本症例のように舌の付着異常により舌の位置、機能が悪くなり不正咬合が惹起されているケースは多く見られます。機能(咀嚼・嚥下・発音・呼吸)と形態(歯列・噛み合わせ)は密接に関わっていますが、過去の矯正治療では形態改善のみに力が注がれ、機能改善は重要視されてこなかった経緯がありました。しかし機能を無視した治療は、治療後の後戻りの原因となることが多くありこのことから当院では機能改善と形態回復の両面から治療するように心がけています。
■チンキャップによる下顎の成長のコントロール
本症例では口腔機能訓練(MFT)と顎骨の成長コントロールを行い、機能と形態を改善させることができました。治療終了年齢が15歳であるため、チンキャップはしばらく継続してもらい注意深く経過観察しています。
矯正治療におけるリスクについて
- 1痛みがでる可能性があること
- 2装置に擦れることで口内炎が出来やすくなる
- 3治療への協力度が低いと治療が長引く可能性があること
- 4歯みがきが難しくなるため虫歯や歯肉炎になりやすくなること
- 5治療後、保定装置(リテーナー)を指示通り入れないことや、その他の指導内容が守れない
場合、後戻りする可能性があること
※上記の内容は個人差があるため、全ての方に当てはまるものではありませんので参考としてご覧ください。
なお、記載の矯正装置は完成物薬機法対象外の矯正装置であり医薬品副作用被害救済制度の対象外となる場合があります。






























