


ご挨拶
当院のサイトをご覧いただきありがとうございます。
かながわ矯正歯科は、京都市中京区二条と伏見区六地蔵で診療している歯列矯正専門の歯科医院です。私たち兄弟だからこそできる協業診療も強みです。歯並びでお悩みの方はお気軽に何でもご相談ください。

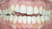
歯並びが悪くなる原因のほとんどが悪習癖による後天性のものだということをご存知でしょうか?

当院では、様々な種類の矯正装置をご用意しております。

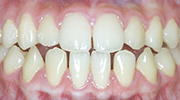
美しい歯並び・正しい噛み合わせになるように早期から発育を見守ることが大切です。

コンプレックスの改善だけでなく、虫歯や歯周病の予防にもなります。

矯正装置を歯の裏側に装着するので他人から矯正していることが気づかれにくいです。

透明なマウスピース型の矯正装置を使用するので目立たずに矯正できます。

歯科矯正用アンカースクリューという小さなネジを固定源に歯を動かしていきます。

過度な出っ歯・受け口・開咬などの顎変形症や先天性疾患は保険が適応されます。
京都市中京区にある、かながわ矯正歯科二条診療所です。
二条駅前でアクセス抜群。
〒604-8418
京都市中京区西ノ京東栂尾町3 JR二条駅NKビル4F
京都市伏見区にある、かながわ矯正歯科六地蔵診療所です。「京阪六地蔵駅」すぐ。土日も診療。
〒612-8007
京都府京都市伏見区桃山町因幡24-33