開咬(上下の歯が咬み合わない状態)とは?

歯を噛み合わせた状態で上下の歯の間に接触していない部分がある状態のことをいいます。前歯が噛み合っていない場合、奥歯にとても負担がかかり歯の寿命が短くなってしまいます。そのような形態の場合、多くは舌が上下の歯の間に入ろうとする癖(舌癖)があるため矯正治療後もその癖が残っていると歯が安定しにくかったり後戻りの原因になるため口腔筋機能療法(MFT)が必要になります。
CASE1
| 初診時年齢 | 29歳 |
|---|---|
| 主訴 | 上下の前歯が咬み合わないことを気にされて来院 |
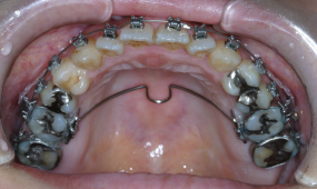
| 口腔内所見 | 上下の歯が奥歯しか噛み合っておらず、前歯は開咬(上下の歯が噛み合わない状態)でした。嚥下時(飲み込むとき)・発音時・安静時(普段)に上下の前歯の隙間から舌が前に出る癖があり奥歯はかなり磨り減っている状態です。 |
| 診断名 | 舌突出癖を伴う骨格性開咬 |
| 装置名 | マルチブラケット装置、歯科矯正用アンカースクリュー、パラタルバー |
| 抜歯、非抜歯 | 非抜歯 |
| 治療期間・ 通院回数 |
2年8ヶ月・32回 |
| 費用の目安 | 800,000円※当時税率5% (費用内訳) 検査・診断料:52,500円(税込) 矯正治療費(処置料・保定装置料を含む):684,500円(税込) 歯科矯正用アンカースクリュー:31,500円(税込)×2本 |
| リスク・副作用 |
|
治療計画
マルチブラケット装置にて上下の歯を非抜歯で配列し、歯科矯正用アンカースクリューを用いて上下の奥歯の圧下(歯を歯肉方向に埋め込ませる動き)を図ります。下の顎を反時計回り(口が閉じる方向)に回転させることにより、前の歯の咬合接触を獲得します。舌の癖に対しては口腔筋機能訓練(MFT)とスマイルトレーニングを徹底し、機能的・審美的回復を図ります。
上顎・正面・下顎
- 治療前
- 治療中
- 治療後
側面
- 治療前
- 治療中
- 治療後
治療前後横顔
- 治療前
- 治療後
治療結果
■叢生と開咬の改善
歯並びは綺麗になり、噛み合わせは前歯から奥歯までしっかり噛み合い接触させることができました。患者さん自身のモチベーションが高く、初診相談の時点で舌の癖を指摘されたのがショックだったようで、口腔筋機能療法(MFT)には特に力を入れてもらえました。
■MFTとスマイルトレーニングによる表情の改善
口元はしっかり上下口唇が閉じられるようになり、口角も上がり、結果に満足いただけたようです。自分のような舌の癖に気付かず不正咬合になっている人達のために、自分の症例をどんどん使ってください!とのお言葉までいただきました。
CASE2
| 初診時年齢 | 10歳 |
|---|---|
| 主訴 | 上下の歯が噛み合っていない、受け口 |
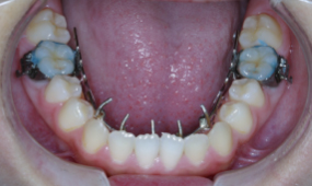
| 口腔内所見 | 上下の歯が奥歯しか当たっておらず開咬状態で、上の顎の歯並びのアーチが著しく狭く前歯に叢生(歯並 びがガタガタ)があり、奥歯が交叉咬合(顎が左右いずれかへずれている噛み合わせ)で下の歯の真ん中が約3mm右に偏位していました。開咬状態による舌の癖も見受けられました。 |
| 診断名 | 上顎歯列狭窄、舌突出癖、開咬を伴う骨格性下顎前突症 |
| 装置名 | マルチブラケット装置、顎急速拡大装置、タングクリブ(舌突出防止装置) |
| 抜歯、非抜歯 | 非抜歯 |
| 治療期間・ 通院回数 |
2年4ヶ月・28回 |
| 費用の目安 | 800,000円(税込)※当時税率5% (費用内訳) 検査・診断料:52,500円(税込) 矯正治療費(処置料・保定装置料を含む)747,500円(税込) |
| リスク・副作用 |
|
治療計画
上顎の歯の並びが狭いことに対して10歳という年齢から骨格的な拡大を見込み、上顎急速拡大装置を用いて約10mm拡大、舌の癖に対しては口腔筋機能療法(MFT)、発音トレーニングの徹底を行い舌の癖の改善を図ります。舌の位置異常の改善度を再評価しタングクリブ(舌が前に出るのを防止する装置)の装着も検討します。開咬、歯列不正に対しては第二大臼歯(12歳臼歯)の萌出度合いを確認し、マルチブラケット装置にて改善を図ります。
上顎・正面・下顎
- 治療前
- 治療中
- 治療後
側面
- 治療前
- 治療中
- 治療後
治療前後横顔
- 治療前
- 治療後
治療結果
■上顎急速拡大装置の使用
治療計画に沿って治療を進めた結果、上の歯並びのアーチは拡大され前歯から奥歯まできっちり噛み合い、良好な咬合が確立されました。
■口腔筋機能訓練の指導
口元のゆるみも改善され、リラックス状態でしっかり唇が閉鎖できるようになりました。この患者さんは小学生から治療を開始しましたが、中学生になり吹奏楽部でクラリネットをやり始めたことに加え思春期特有の反抗期も重なり、歯磨き不足や口腔筋機能療法(MFT)への非協力などスタッフ一同でかなり苦労しましたが、何とか医院一丸となって目標を達成できたケースです。
矯正治療におけるリスクについて
- 1痛みがでる可能性があること
- 2装置に擦れることで口内炎が出来やすくなる
- 3治療への協力度が低いと治療が長引く可能性があること
- 4歯みがきが難しくなるため虫歯や歯肉炎になりやすくなること
- 5治療後、保定装置(リテーナー)を指示通り入れないことや、その他の指導内容が守れない
場合、後戻りする可能性があること
※上記の内容は個人差があるため、全ての方に当てはまるものではありませんので参考としてご覧ください。
なお、記載の矯正装置は完成物薬機法対象外の矯正装置であり医薬品副作用被害救済制度の対象外となる場合があります。






























