叢生(がたがた)とは?

がたがたや乱ぐい歯といわれる状態です。歯が生えてくる際のスペース不足や歯の大きさが基準値より大きいときに歯のガタガタがつくられます。治療方法はケースにより様々で、歯を抜くことで治療をしたり歯の並びのアーチを広げることで治療したり、検査結果をもとに分析を行い治療方針をたて歯の理想の位置を守れるよう治療していきます。
CASE1
| 初診時年齢 | 32歳 |
|---|---|
| 主訴 | ガタガタの歯並びで(子供が矯正をはじめたから自分も気になって)来院 |
| 口腔内所見 | 歯のサイズが大きく、顎が狭小のため、著しい叢生(乱ぐい歯)の状態でした。奥歯の噛み合わせの問題はなく、側切歯(前歯の2番目の歯)は交叉咬合(上下の歯を噛み合わせた時に、上下の歯列がどこかで交叉している噛み合わせ)の状態でした。 |
| 診断名 | 歯牙サイズの過大、歯槽骨の狭小に伴う叢生症例 |
| 装置名 | マルチブラケット装置、歯科矯正用アンカースクリュー |
| 抜歯部位 | 上下左右4番抜歯 |
| 治療期間・ 通院回数 |
2年10ヶ月・34回 |
| 費用の目安 | 800,000円(税込)※当時税率5% (費用内訳) 検査・診断料:52,500円(税込) 矯正治療費(処置料・保定装置料を含む):684,500円(税込) 歯科矯正用アンカースクリュー:31,500円(税込)×2本 |
| リスク・副作用 |
|
治療計画
ご本人の希望により非抜歯でマルチブラケット装置にて歯並びのアーチの拡大、叢生改善を図りました。前歯の出ている感じが強く出た場合は再評価し、抜歯をして治療する計画に変更することとしました。
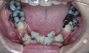
上顎・正面・下顎
- 治療前
- 治療中
- 治療後
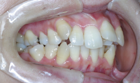
側面
- 治療前
- 治療中
- 治療後
治療前後横顔
- 治療前
- 治療後
治療結果
■治療中の再評価による治療計画の修正
歯のサイズと顎骨の不調和が大きいことから、上下左右計4本(小臼歯)の抜歯を提案しましたが、患者さんが非抜歯を希望されたことから、セルフライゲーションブラケット装置(デーモンシステム)で上の歯の排列からスタートしました。しかし歯がキレイに並ぶことにより前歯が出る状態となり、前歯が目立ち自然に口を閉じることも困難となりました。そのため再評価し、患者さんとよく話し合った末、同意を得て上下左右計4本の抜歯に計画を変更しました。
■歯科矯正用アンカースクリューの使用
抜歯後は、上の顎に歯科矯正用アンカースクリューを用いて前歯を後退させました。叢生(歯がガタガタ)は解消され、良好な噛み合わせが確立されました。
CASE2
| 初診時年齢 | 34歳 |
|---|---|
| 主訴 | 口の中すべて(前歯の歯並び)が気になる |
| 口腔内所見 | 歯のサイズと顎の骨の大きさの不調和が著しく上下とも叢生(歯のガタガタ)量が大きく、奥歯の噛み合わせは上の歯が前にずれていて出っ歯の状態となっていました。上下の歯の真ん中は約4mmずれており、また舌小帯(舌の裏のスジ)が短く、舌の動き(噛んで飲み込む動作や発音)を制限していました。口唇や頬は伸展性が乏しく、その力により口腔容積は著しく小さくなっている傾向にありました。 |
| 診断名 | 著しい叢生(歯並びのガタガタ)を伴う上顎前突症例 |
| 装置名 | リンガルブラケット矯正装置(上顎)、マルチブラケット装置(下顎)、歯科矯正用アンカースクリュー |
| 抜歯部位 | 上下左右4番、上顎左右7番抜歯 |
| 治療期間・ 通院回数 |
4年5ヶ月・53回 |
| 費用の目安 | 1,050,000円(税込)※当時税率5% (費用内訳) 検査・診断料:52,500円(税込) 矯正治療費(処置料・保定装置料を含む):934,500円(税込) 歯科矯正用アンカースクリュー:31,500円(税込)×2本 |
| リスク・副作用 |
|
治療計画
リンガルブラケット矯正装置(歯の裏側からの装置)、下は表からのマルチブラケット装置を希望。著しい叢生(ガタガタの歯並び)に対して上下左右計4本の抜歯で排列と前歯の後退を図りました奥歯の噛み合わせのズレに対しては上顎左右第二大臼歯(12歳臼歯)を抜歯し、上顎歯列全体を遠心(後方)移動させることにより正常な噛み合わせの位置を獲得します。
上顎・正面・下顎
- 治療前
- 治療中
- 治療後
側面
- 治療前
- 治療中
- 治療後
治療前後横顔
- 治療前
- 治療後
治療結果
■リンガルブラケット矯正装置の使用
舌側矯正では叢生(歯並びのガタガタ)が強いと装置が着かず、隣り合う装置同士の距離が狭くなり歯を並べるのに時間と労力がかかります。
■奥歯の抜歯、歯の移動による噛み合わせの改善
また骨格的なずれと歯の並びの前後的ずれがあるケースでは、奥歯の抜歯を要する場合があり、歯の移動やコントロールが難しくなります。このケースはまさに難易度特大で4年以上の治療期間がかかりましたが、患者さんの協力と歯科矯正用アンカースクリューに助けられ、うまく目標を達成できたケースでした。患者さんも仕上がりにはかなり満足していただいています。
矯正治療におけるリスクについて
- 1痛みがでる可能性があること
- 2装置に擦れることで口内炎が出来やすくなる
- 3治療への協力度が低いと治療が長引く可能性があること
- 4歯みがきが難しくなるため虫歯や歯肉炎になりやすくなること
- 5治療後、保定装置(リテーナー)を指示通り入れないことや、その他の指導内容が守れない
場合、後戻りする可能性があること
※上記の内容は個人差があるため、全ての方に当てはまるものではありませんので参考としてご覧ください。
なお、記載の矯正装置は完成物薬機法対象外の矯正装置であり医薬品副作用被害救済制度の対象外となる場合があります。






























